CIRURGIA Endovascular

Conheça todos os tratamentos

Cirurgia que realiza o tratamento de doenças circulatórias por meio de cateteres, guias, balões, stents e endopróteses.

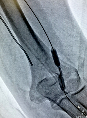
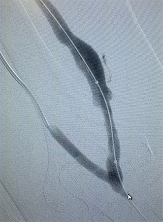
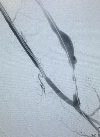
Angioplastias e Implantes de Stents

A falta de circulação para os diversos órgãos e membros pode ocorrer de maneira súbita ou gradual. As causas são as mais diversas, entre elas, trombose, aterosclerose, traumatismos, aneurismas, doenças inflamatórias, etc. Em alguns destes casos, a diminuição do fluxo sanguíneo determina um grave comprometimento à vitalidade do membro ou mesmo do órgão. A angioplastia consiste em reestabelecer a circulação para determinada parte do corpo através de pequenas punções, na maioria das vezes realizadas na região da virilha, evitando grandes incisões de pele. Os locais mais comuns de angioplastia periférica são: artérias dos membros inferiores, carótidas, artérias renais, entre outras. Após a melhora da circulação, o cirurgião vascular avalia a necessidade de utilizar um stent para melhorar o resultado e a durabilidade da angioplastia. Existem diversos tipos de balões de angioplastia e stents disponíveis no mercado, cabendo ao especialista identificar qual o melhor material indicado para cada situação.

Embolizações de Malformações Vasculares

Existem vários tipos diferentes de malformações vasculares congênitas. A maioria de nós já teve a oportunidade de observar bebês com os hemangiomas superficiais, que embora causem certo espanto, geralmente regridem espontaneamente até os sete anos de idade. Todavia, há malformações que seguem crescendo durante toda a vida, podendo causar prejuízo estético e funcional ao paciente. Atualmente, é possível através de técnicas de cateterização superseletiva ou mesmo punção direta, injetar substâncias que provocarão a oclusão dessas lesões, levando à sua regressão ou até completo desaparecimento.

Tratamento de Aneurismas de Aorta, Periféricos ou Vicerais

É o tratamento de artérias dilatadas por métodos endovasculares pouco invasivos. O procedimento pode alterar de acordo com a região localizada, do tamanho e da condição do aneurisma. Atualmente a cirurgia vascular dispõe em seu arsenal para o tratamento de aneurismas, um método seguro e menos invasivo que a cirurgia convencional. O tratamento endovascular para aneurismas de aorta, viscerais e periféricos possibilita uma melhora na qualidade de vida dos pacientes de uma forma menos agressiva, objetivando evitar as principais complicações dessas doenças. São utilizados dispositivos de implante totalmente percutâneo e o procedimento é realizado em local específico para estes casos. Após detalhada análise de exames complementares: ultrassom, angiotomografia, angiorressonância, o cirurgião vascular opta pela melhor alternativa de tratamento baseado na anatomia da doença e no perfil de cada paciente.

Embolização Uterina para Tratamento de Miomas

Os miomas, ou fibromas uterinos, são tumores benignos que se desenvolvem no útero de muitas mulheres adultas. Na maioria dos casos, eles são pequenos e não causam nenhum sintoma. Porém, em algumas mulheres, a presença de miomas de grande volume pode levar a sangramento menstrual exagerado, dor no baixo ventre, desconforto ou dor durante as relações sexuais, intestino preso, sintomas urinários e, nos tumores muito grandes, até mesmo o aumento do volume do abdome.

Além disso, os miomas podem dificultar a gestação, por impedir que o espermatozoide encontre o óvulo na tuba uterina, ou ainda dificultar a implantação do óvulo fecundado na parede uterina.

Existem, basicamente, três tipos de miomas, de acordo com a sua localização no útero. Os submucosos, são os mais externos, os intramurais, localizados dentro da parede muscular do útero, e os submucosos, mais internos, praticamente dentro da cavidade uterina.

Há várias formas de tratamento para os miomas. Para as mulheres que não desejam mais engravidar, usualmente a principal opção é a histerectomia, cirurgia feita pelo ginecologista que removerá o útero.

Para os miomas submucosos, aqueles mais internos, pode-se em alguns casos, retirar o tumor por histeroscopia, sem uma cirurgia propriamente dita.

Para miomas subserosos e alguns intramurais, há também a opção da cirurgia de miomectomia, onde o ginecologista removerá apenas o tumor, preservando o útero.

Há alguns anos, o cirurgião vascular vem colaborando no tratamento de alguns desses pacientes através da embolização uterina. Neste procedimento, que fazemos com anestesia raquidiana, através da punção da artéria femoral junto à virilha, um cateter é introduzido e dirigido para a artéria uterina, principal nutridora do útero.

Após adequadamente posicionado, injetamos microesferas de diferentes tamanhos, com a intenção de bloquear o suprimento sanguíneo para o útero. Repetimos todo o procedimento na outra artéria uterina.

Como os miomas, em geral, são muito ávidos por suprimento sanguíneo, entram em sofrimento isquêmico e começam a involuir gradualmente.

Após o procedimento, usualmente a paciente permanece internada por um a dois dias, sendo liberada para suas atividades habituais em seguida.

Recomendamos que seja evitada uma gestação nos primeiros seis meses após a embolização.

O Studio Médico está preparado para realizar embolizações uterinas para tratamento de miomas, oferecendo segurança, conforto e bons resultados às pacientes.

Pergunte ao seu ginecologista sobre esta opção de tratamento, e marque uma consulta conosco para tirar suas dúvidas

Embolização de Varizes Pélvicas

Varizes Pélvicas é o nome dado para a dilatação das veias localizadas no interior da pelve, próximas ao útero, bexiga e reto. Quando volumosas, essas varizes provocam dor no baixo ventre, dor durante a relação sexual, hemorroidas e varizes na face interna da coxa e períneo. Novas técnicas endovasculares pouco invasivas, permitem o tratamento do problema, com melhora na qualidade de vida desses pacientes.

A embolização de varizes pélvicas é feita através da punção de uma veia superficial do braço. Utilizando cateteres, o cirurgião vascular ocluirá os vasos doentes com liberação de espirais metálicas e substância química na forma de microespuma densa.  

As molas em conjunto com a espuma provocarão a oclusão gradual das veias que originam as varizes, levando ao seu desaparecimento.

Quimioembolização Hepática

O hepatocarcinoma é o câncer primário do fígado mais comum na população. Geralmente associado à cirrose hepática, e hepatite C ou B crônica. Menos da metade dos pacientes tem condições de ressecar o tumor através de uma hepatectomia no momento do diagnóstico. O tratamento do tumor através da injeção de quimioterápico por cateterismo, é uma forma de tratamento que pode auxiliar em muito no controle da doença. Através do cateterismo de uma artéria femoral (virilha) ou braquial (cotovelo), o cirurgião vascular navega pela circulação arterial chegando o mais próximo possível do tumor. Então, injeta o quimioterápico, geralmente combinado com pequenas partículas, com a intenção de impregnar o tumor com uma alta concentração de droga, além de reduzir a sua nutrição sanguínea, obstruindo as artérias que levam fluxo até ele.

Usualmente o paciente recebe alta no dia seguinte ao procedimento, com efeitos colaterais muito leves, por vezes até ausentes. Quem indica este procedimento é o médico responsável pelo tratamento do câncer, seja um oncologista ou um hepatologista.

serviços

Explore outros serviços

Equipamentos de última geração para resultados confiáveis.

Menu

Menu

Menu